La extracción de muelas del juicio es uno de los procedimientos más habituales dentro de la cirugía maxilofacial, y también uno de los más consultados por pacientes de todas las edades. Estos terceros molares, que aparecen en la parte posterior de la boca, suelen generar complicaciones cuando no erupcionan correctamente. El abordaje quirúrgico, en manos expertas, no solo alivia el dolor o la inflamación, sino que previene daños estructurales en la cavidad oral y mejora significativamente la calidad de vida del paciente.
En este artículo, desde Orthofacial, centro de referencia en cirugía oral y facial, te explicamos en qué casos se recomienda la extracción, qué riesgos puede evitar y cómo se realiza el procedimiento con seguridad y precisión.
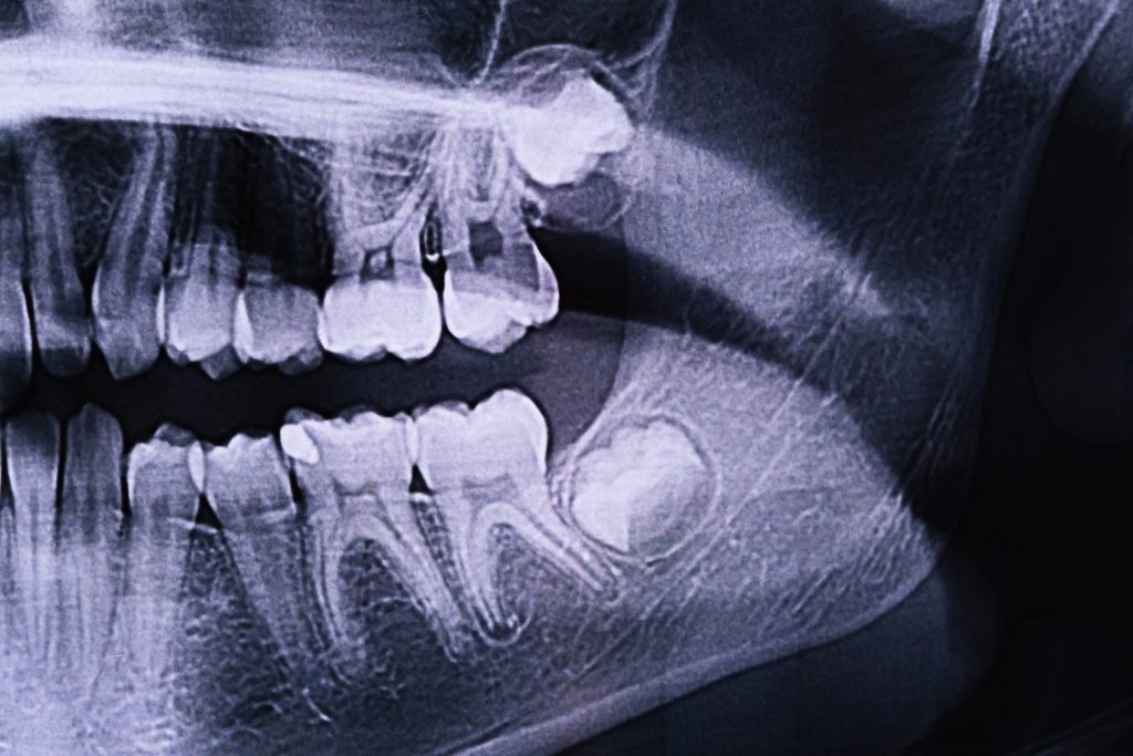
¿Qué son las muelas del juicio?
Las muelas del juicio son los terceros molares, que suelen erupcionar entre los 17 y los 25 años. En muchos casos, estas piezas no encuentran el espacio adecuado para salir correctamente, lo que da lugar a una erupción parcial o una inclusión dentaria (cuando quedan retenidas dentro del hueso o la encía). Esta situación puede derivar en infecciones, quistes, caries en los dientes adyacentes, o incluso en problemas ortodóncicos.
¿Cuándo está indicada la extracción de muelas del juicio?
La extracción de muelas del juicio se recomienda tanto de forma preventiva como terapéutica. A continuación, te detallamos las principales indicaciones clínicas:
- Dolor recurrente o inflamación en la zona posterior de la mandíbula.
- Infecciones frecuentes, como pericoronaritis, por acumulación de bacterias en muelas parcialmente erupcionadas.
- Impactación dental, cuando la muela crece en ángulo o no erupciona por falta de espacio.
- Lesiones en el segundo molar o riesgo de desarrollar caries difíciles de tratar.
- Presencia de quistes o tumores odontogénicos asociados a muelas retenidas.
- Tratamientos ortodónticos, donde la presión de los terceros molares podría desalinear los dientes corregidos.
En Orthofacial, realizamos una valoración clínica y radiológica completa para decidir si la extracción es necesaria, y en qué momento debe realizarse para minimizar riesgos.

La importancia de la cirugía maxilofacial en estos casos
Cuando la intervención requiere una técnica quirúrgica más compleja, la cirugía maxilofacial es la especialidad indicada. El cirujano maxilofacial posee una formación médico-quirúrgica especializada que le permite abordar con precisión los casos de muelas retenidas, especialmente si están cercanas a estructuras nerviosas como el nervio dentario inferior.
En Orthofacial, utilizamos planificación digital en 3D, sistemas de anestesia avanzada y técnicas de cirugía mínimamente invasiva para garantizar una intervención segura, eficaz y con una recuperación postoperatoria más rápida.
¿Cómo es el procedimiento de extracción?
La extracción de muelas del juicio puede realizarse bajo anestesia local, sedación consciente o anestesia general, según el caso clínico y las preferencias del paciente. El procedimiento suele seguir estos pasos:
- Evaluación preoperatoria con radiografía panorámica o escáner CBCT.
- Anestesia y preparación del campo quirúrgico.
- Incisión en la encía y acceso al hueso si la muela está incluida.
- Seccionamiento y extracción de la pieza dental.
- Sutura y prescripción de cuidados postoperatorios.
En Orthofacial, la intervención es realizada por especialistas en cirugía maxilofacial, lo que garantiza la mínima agresión a los tejidos y reduce significativamente las complicaciones.
¿Qué riesgos se evitan con una extracción a tiempo?
Demorar la extracción de muelas del juicio puede dar lugar a complicaciones que afectan no solo a la boca, sino a la salud general:
- Infecciones profundas que pueden extenderse a otras zonas faciales.
- Reabsorción de la raíz del segundo molar.
- Formación de quistes dentales o lesiones óseas.
- Dolor crónico mandibular o limitación para abrir la boca.
- Alteración en la alineación dental después de tratamientos ortodóncicos.
Además, intervenir en edades más tempranas (entre los 18 y 25 años) suele favorecer una mejor recuperación, ya que el hueso es más flexible y la cicatrización más rápida.
Cuidados postoperatorios
El éxito de la cirugía dental también depende de un buen cuidado tras la intervención. En Orthofacial, proporcionamos un plan de seguimiento personalizado, que incluye:
- Aplicación de frío local para reducir la inflamación.
- Instrucciones claras sobre alimentación y medicación.
- Revisiones de control para asegurar la correcta cicatrización.
- Consejos para evitar infecciones y molestias innecesarias.
Gracias a nuestro enfoque multidisciplinar, los pacientes se sienten acompañados antes, durante y después del procedimiento.
¿Por qué elegir Orthofacial?
Orthofacial es una clínica especializada en cirugía maxilofacial y tratamientos de alta complejidad. Nuestro equipo está formado por profesionales con amplia experiencia, que combinan tecnología de vanguardia y atención personalizada para lograr los mejores resultados.
Ofrecemos:
- Diagnóstico preciso con radiología digital y escáner 3D.
- Cirugía mínimamente invasiva.
- Instalaciones seguras y cómodas.
- Trato humano y cercano en cada etapa del tratamiento.
Conclusión
La extracción de muelas del juicio no es una intervención menor, especialmente cuando existe retención ósea o riesgo de complicaciones. Contar con un equipo experto en cirugía maxilofacial, como el de Orthofacial, asegura un tratamiento eficaz, seguro y con una recuperación óptima.
¿Sientes molestias al masticar o inflamación en la parte posterior de tu boca? ¿Te han indicado que necesitas una extracción quirúrgica? No lo dejes pasar. Ponte en contacto con Orthofacial y solicita tu primera consulta. Nuestro equipo está preparado para ayudarte a recuperar tu salud oral con la máxima profesionalidad.